
협심증 초기증상에 대해서
협심증은 심장 혈관과 연관된 질환으로 가슴 답답한 증상의 대표적인 유형으로 알려져 있어요.
심장질환이 발생하는 이유 중 가장 큰 이유는 심장에 혈액을 공급하는 관상동맥이 좁아지거나 막혀서 심장에 충분한 혈액이 공급되지 않는 것인데요. 협심증과 심근경색증이 발생하는 대표적인 이유인데요.
우리나라에서 이 질환을 가진 분들이 60만 명을 넘어서고 있으며, 그중 50대 이상 연령대가 높은 비율을 차지하고 있다고 해요. 더군다나 협심증 환자는 매년 증강하고 있는 추세라고 해요.






협심증이란
심장은 3개의 주요 혈관(관상동맥)을 통해 산소와 영양분을 공급받아 작동해요. 동맥경화증, 혈전증, 혈관수축, 연축으로 인해 3개의 관상동맥 중 어느 하나에 급성 또는 만성 협착증이 발생하게되면 심장 전체 또는 일부에 산소와 영양분 공급이 떨어지고 심장으로의 공급이 감소해요.
산소와 영양소가 급격히 떨어지고 심근은 허혈에 이차적인데요. 이 상태를 협심증이라고 해요. 협심증은 3가지 유형으로 구분되는데, 하나는 동맥경화(만성) 안정형 협심증의 만성 협착으로 인한 협심증이고, 다른 하나는 동맥경화성 병변과 혈전 파열로 인한 협심증으로 갑작스럽게 협착이 악화되는 불안정형 협심증이라고 해요.
마지막으로, 동맥경화 병변이 없음에도 불구하고 혈관경련으로 인한 혈류 차단으로 인한 협심증을 변이형(이형성) 협심증이라고 해요.
동맥경화증, 혈전증, 혈관의 수축 빛 연축 등의 원인에 의해 3개의 관상 동백 중 어느 한 곳에서라도 급성이나 만성으로 협착(수축 등의 우너인에 의해 혈관 등의 통로의 지름이 떨어지는 것)이 일어나는 경우, 심장의 전체 또는 일부분에 의해 혈류 공급이 떨어지면서 산소 및 영양 공급이 급격하게 줄어들어 심장 근육이 아치적으로 허혈 상태로 빠지게 돼요. 이러한 상황을 협심증이라고 해요.
협심증 초기증상
대표적인 협심증 초기증상은 통증, 호흡곤란, 현기증, 구역질 등을 꼽을 수 있습니다.
가슴이 답답하며, 이 증상이 계속 유지돼요
가슴이 싸한 느낌이 느껴져요.
속이 답답하고 울렁거리며 힘들어요.
가슴통증과 함께 호흡곤란이 옵니다
일상생활 중에 두통이나 어지러움이 느껴져요.
협심증 초기증상 1. 현기증
많은 사람들이 종종 약간의 현기증을 경험하곤 해요.
이는 갑작스럽게 일어나거나, 식사량이 부족한 경우 혹은, 너무 오래 서있었을 때 나타날 수 있는 증상인데요.
그러나 이러한 현기증은 협심증의 초기 증상 중 한가지인지라 다른 증상과 함께 고려해서 협심증이 아닌지 의심해볼 필요가 있어요.
협심증 초기증상 2. 호흡 곤란
협심증의 초기 증상으로 호흡이 어려울 수 있어요. 협심증의 증상이 나타나면 심장에 혈액이 제대로 공급되지 않아 발생해요.
협심증 초기증상 3. 구토
구토는 협심증의 초기 증상일 수 있어요. 구토는 혈액이 부족할 때 나타나는 증상인데요. 몸이 좋지 않으면 구토, 어지러움 등의 증상이 자주 나타나기 때문에 협심증의 초기 증상으로 치료해야 해요.






협심증 초기증상 4. 신체 통증
협심증의 초기 증상에는 목, 팔 및 기타 신체 부위의 통증이 있어요. 협심증을 초기에 치료하지 않으면 다른 통증이 발생할 수 있어요. 그리고 식은땀, 가슴 답답함, 호흡 곤란이 있을 수 있어요.
이러한 증상이 갑자기 나타나는 이유는 찬바람을 맞으며 외출을 한 경우 혹은 갑자기 20~30층으로 계단을 오르면 협심증 증상이 나타나기 때문에 일상생활에서 주의가 필요하기 때문입니다.
협심증 초기증상 5. 가슴 통증
협심증은 가슴에 바늘로 찌르는 듯한 통증이 있거나 전신에 통증이 있는 것이 특징인데요.
또는 가슴이 눌리는 느낌, 무언가에 짓눌리는 느낌 등 여러가지 증상이 15분 정도 지속되기도 해요. 가슴 부위의 통증은 보통은 가볍게 볼 수 없는 경우가 많아요.
이러한 통증이 나타난다면 협심증의 초기 증상일 수 있으기 때문에 치료가 필요할 수 있어요.
협심증 초기증상 6. 가슴 조임
가슴이 조이는 듯한 증상을 느낀다면 이것은 협심증의 징후일 수 있어요.
이는 심장마비의 징후일 수도 있어서 심장마비를 경험해본 사람이라면 이러한 증상이 더 무섭게 느껴질 것인데요.
일단 가슴이 조이는 듯한 증상이 있으면 심호흡을 하면서 최대한 긴장을 풀도록 노력해야 해요.
그리고 이 증상이 지속된다면 즉시 병원을 방문하는 것이 좋아요.
협심증 초기증상 7. 소화 불량
협심증과 연관이 없을 것 같은 또 다른 증상은 속 쓰림과 소화불량인데요.
소화기 문제는 협심증의 초기 증상이라고 해요. 그 이유는 혈액이 전신에 제대로 공급되지 않아 신진대사가 느려지고 소화기 장애가 생기기 때문인데요. 소화불량이나 속이 더부룩한 것은 협심증의 초기 증상일 수 있어요.






협심증 초기증상 8. 땀흘림
일반적으로 땀을 흘리는 것은 체내 온도 조절에 도움이 돼요.
또한 신체에 축적된 독소를 배출하는데 도움이 될 수도 있어요.
그러나 이 역시도 과하게되면 좋지 않아요.
과도한 발한 증상은 협심증의 흔한 증상 중 한가지로 가슴 통증과 조임을 느낄 때 발생할 수 있어요.
이런 증상은 역시 심장마비의 증상이기도 하므로 협심증이라 확신할 수 없다면 병원을 방문해서 진료를 받는 것이 좋아요.
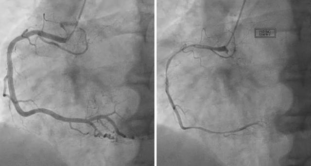
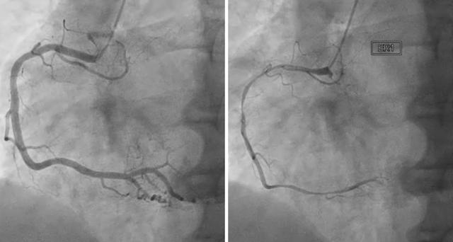
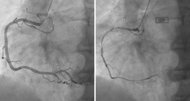
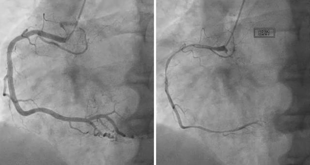
협심증 치료 방법
치료는 원인을 제거하는 방법인데 혈관을 넓혀주는 방법이죠. 심하지 않다면 약물 치료를 통해 호전이 될 수 있지만 그와 반대로 심한 경우에는 수술이 필요할 수 있다고 합니다. 혈관을 넓혀주는 방법이며 스텐트 삽입술, 응급 심혈관성형술 등이 있다고 해요. 쉽게 설명하자면 혈관에 관을 삽입해서 인위적으로 넓혀주는 것입니다 가운데가 뚫린 관을 혈관이 좁은 곳에 넣는 것인데요.
이를 통해 혈액 순환이 호전될 수 있으며 협심증 증상을 완화시킬 수 있다고 합니다. 수술만 했다고 끝은 아니며 계속해서 추적 관찰을 해야 하고 약을 먹어야 한다고 해요. 재발 방지를 위함입니다 정기적으로 병원에 내원해서 검사를 받고 약을 먹는 것이 여간 번거롭다는 이야기도 많아요. 하지만 불상사를 대비하기 위해선 당연한 것이라 생각합니다.






통풍 증상 바람에 ◆ 스치기만 해도 아파요 ◆
통풍 증상은 바람에 스치기만 해도 아프다고 할 정도로 통증이 심하다고 해서 통풍이라 하는 이름으로 불린다고 해요. 통풍은 관절에 통증과 부종을 유발하는 일종의 관절염인데요. 보통, 1주
nowdream.daawith.com
통풍에 해로운 음식 11가지
통풍에 해로운 음식에 대해서 통풍은 요산이라 하는 물질이 몸 밖으로 빠져나가지 못하고 과도하게 쌓여 발생하는 질환인데요. 국내 통풍 환자가 최근 5년간 50% 이상 증가했고 통풍은 흔히 40 ~50
nowdream.daawith.com
대상포진에 좋은 음식
대상포진에 좋은 음식 대상포진은 수두를 일으키는 수두-대상포진 바이러스에 의해 발생합니다. 우리 몸의 면역 기능이 떨어질 때 몸속에 잠복해 있던 수두 바이러스가 활성화되는 것을 말해요
nowdream.daawith.com

협심증 초기증상에 대해서
협심증은 심장 혈관과 연관된 질환으로 가슴 답답한 증상의 대표적인 유형으로 알려져 있어요.
심장질환이 발생하는 이유 중 가장 큰 이유는 심장에 혈액을 공급하는 관상동맥이 좁아지거나 막혀서 심장에 충분한 혈액이 공급되지 않는 것인데요. 협심증과 심근경색증이 발생하는 대표적인 이유인데요.
우리나라에서 이 질환을 가진 분들이 60만 명을 넘어서고 있으며, 그중 50대 이상 연령대가 높은 비율을 차지하고 있다고 해요. 더군다나 협심증 환자는 매년 증강하고 있는 추세라고 해요.






협심증이란
심장은 3개의 주요 혈관(관상동맥)을 통해 산소와 영양분을 공급받아 작동해요. 동맥경화증, 혈전증, 혈관수축, 연축으로 인해 3개의 관상동맥 중 어느 하나에 급성 또는 만성 협착증이 발생하게되면 심장 전체 또는 일부에 산소와 영양분 공급이 떨어지고 심장으로의 공급이 감소해요.
산소와 영양소가 급격히 떨어지고 심근은 허혈에 이차적인데요. 이 상태를 협심증이라고 해요. 협심증은 3가지 유형으로 구분되는데, 하나는 동맥경화(만성) 안정형 협심증의 만성 협착으로 인한 협심증이고, 다른 하나는 동맥경화성 병변과 혈전 파열로 인한 협심증으로 갑작스럽게 협착이 악화되는 불안정형 협심증이라고 해요.
마지막으로, 동맥경화 병변이 없음에도 불구하고 혈관경련으로 인한 혈류 차단으로 인한 협심증을 변이형(이형성) 협심증이라고 해요.
동맥경화증, 혈전증, 혈관의 수축 빛 연축 등의 원인에 의해 3개의 관상 동백 중 어느 한 곳에서라도 급성이나 만성으로 협착(수축 등의 우너인에 의해 혈관 등의 통로의 지름이 떨어지는 것)이 일어나는 경우, 심장의 전체 또는 일부분에 의해 혈류 공급이 떨어지면서 산소 및 영양 공급이 급격하게 줄어들어 심장 근육이 아치적으로 허혈 상태로 빠지게 돼요. 이러한 상황을 협심증이라고 해요.
협심증 초기증상
대표적인 협심증 초기증상은 통증, 호흡곤란, 현기증, 구역질 등을 꼽을 수 있습니다.
가슴이 답답하며, 이 증상이 계속 유지돼요
가슴이 싸한 느낌이 느껴져요.
속이 답답하고 울렁거리며 힘들어요.
가슴통증과 함께 호흡곤란이 옵니다
일상생활 중에 두통이나 어지러움이 느껴져요.
협심증 초기증상 1. 현기증
많은 사람들이 종종 약간의 현기증을 경험하곤 해요.
이는 갑작스럽게 일어나거나, 식사량이 부족한 경우 혹은, 너무 오래 서있었을 때 나타날 수 있는 증상인데요.
그러나 이러한 현기증은 협심증의 초기 증상 중 한가지인지라 다른 증상과 함께 고려해서 협심증이 아닌지 의심해볼 필요가 있어요.
협심증 초기증상 2. 호흡 곤란
협심증의 초기 증상으로 호흡이 어려울 수 있어요. 협심증의 증상이 나타나면 심장에 혈액이 제대로 공급되지 않아 발생해요.
협심증 초기증상 3. 구토
구토는 협심증의 초기 증상일 수 있어요. 구토는 혈액이 부족할 때 나타나는 증상인데요. 몸이 좋지 않으면 구토, 어지러움 등의 증상이 자주 나타나기 때문에 협심증의 초기 증상으로 치료해야 해요.






협심증 초기증상 4. 신체 통증
협심증의 초기 증상에는 목, 팔 및 기타 신체 부위의 통증이 있어요. 협심증을 초기에 치료하지 않으면 다른 통증이 발생할 수 있어요. 그리고 식은땀, 가슴 답답함, 호흡 곤란이 있을 수 있어요.
이러한 증상이 갑자기 나타나는 이유는 찬바람을 맞으며 외출을 한 경우 혹은 갑자기 20~30층으로 계단을 오르면 협심증 증상이 나타나기 때문에 일상생활에서 주의가 필요하기 때문입니다.
협심증 초기증상 5. 가슴 통증
협심증은 가슴에 바늘로 찌르는 듯한 통증이 있거나 전신에 통증이 있는 것이 특징인데요.
또는 가슴이 눌리는 느낌, 무언가에 짓눌리는 느낌 등 여러가지 증상이 15분 정도 지속되기도 해요. 가슴 부위의 통증은 보통은 가볍게 볼 수 없는 경우가 많아요.
이러한 통증이 나타난다면 협심증의 초기 증상일 수 있으기 때문에 치료가 필요할 수 있어요.
협심증 초기증상 6. 가슴 조임
가슴이 조이는 듯한 증상을 느낀다면 이것은 협심증의 징후일 수 있어요.
이는 심장마비의 징후일 수도 있어서 심장마비를 경험해본 사람이라면 이러한 증상이 더 무섭게 느껴질 것인데요.
일단 가슴이 조이는 듯한 증상이 있으면 심호흡을 하면서 최대한 긴장을 풀도록 노력해야 해요.
그리고 이 증상이 지속된다면 즉시 병원을 방문하는 것이 좋아요.
협심증 초기증상 7. 소화 불량
협심증과 연관이 없을 것 같은 또 다른 증상은 속 쓰림과 소화불량인데요.
소화기 문제는 협심증의 초기 증상이라고 해요. 그 이유는 혈액이 전신에 제대로 공급되지 않아 신진대사가 느려지고 소화기 장애가 생기기 때문인데요. 소화불량이나 속이 더부룩한 것은 협심증의 초기 증상일 수 있어요.






협심증 초기증상 8. 땀흘림
일반적으로 땀을 흘리는 것은 체내 온도 조절에 도움이 돼요.
또한 신체에 축적된 독소를 배출하는데 도움이 될 수도 있어요.
그러나 이 역시도 과하게되면 좋지 않아요.
과도한 발한 증상은 협심증의 흔한 증상 중 한가지로 가슴 통증과 조임을 느낄 때 발생할 수 있어요.
이런 증상은 역시 심장마비의 증상이기도 하므로 협심증이라 확신할 수 없다면 병원을 방문해서 진료를 받는 것이 좋아요.
협심증 치료 방법
치료는 원인을 제거하는 방법인데 혈관을 넓혀주는 방법이죠. 심하지 않다면 약물 치료를 통해 호전이 될 수 있지만 그와 반대로 심한 경우에는 수술이 필요할 수 있다고 합니다. 혈관을 넓혀주는 방법이며 스텐트 삽입술, 응급 심혈관성형술 등이 있다고 해요. 쉽게 설명하자면 혈관에 관을 삽입해서 인위적으로 넓혀주는 것입니다 가운데가 뚫린 관을 혈관이 좁은 곳에 넣는 것인데요.
이를 통해 혈액 순환이 호전될 수 있으며 협심증 증상을 완화시킬 수 있다고 합니다. 수술만 했다고 끝은 아니며 계속해서 추적 관찰을 해야 하고 약을 먹어야 한다고 해요. 재발 방지를 위함입니다 정기적으로 병원에 내원해서 검사를 받고 약을 먹는 것이 여간 번거롭다는 이야기도 많아요. 하지만 불상사를 대비하기 위해선 당연한 것이라 생각합니다.






통풍 증상 바람에 ◆ 스치기만 해도 아파요 ◆
통풍 증상은 바람에 스치기만 해도 아프다고 할 정도로 통증이 심하다고 해서 통풍이라 하는 이름으로 불린다고 해요. 통풍은 관절에 통증과 부종을 유발하는 일종의 관절염인데요. 보통, 1주
nowdream.daawith.com
통풍에 해로운 음식 11가지
통풍에 해로운 음식에 대해서 통풍은 요산이라 하는 물질이 몸 밖으로 빠져나가지 못하고 과도하게 쌓여 발생하는 질환인데요. 국내 통풍 환자가 최근 5년간 50% 이상 증가했고 통풍은 흔히 40 ~50
nowdream.daawith.com
대상포진에 좋은 음식
대상포진에 좋은 음식 대상포진은 수두를 일으키는 수두-대상포진 바이러스에 의해 발생합니다. 우리 몸의 면역 기능이 떨어질 때 몸속에 잠복해 있던 수두 바이러스가 활성화되는 것을 말해요
nowdream.daawith.com
댓글